Mastodon

RT

El canal de noticias RT en español comenzó a emitir desde Rusia durante 24 horas al día y 7 días a la semana en diciembre de 2009, convirtiéndose a partir de ese momento en el primer canal de televisión ruso en idioma castellano con señal de alcance mundial. A lo largo de estos años, la cadena ha sido calificada como una de las principales fuentes de información alternativas en Occidente, dado que a menudo cubre temas ignorados por los medios de comunicación de masas del ‘mainstream’. Desde sus estudios en Moscú y gracias a la colaboración de sus corresponsales en Madrid, Buenos Aires, Caracas, La Habana, México, Washington y Miami, el equipo de RT le acerca las noticias más destacadas del ámbito político, económico y social, contando siempre con la opinión de los mejores expertos y analistas políticos. actualidad.rt.com/ "Los artículos y fotografías de RT publicados por Pressenza no caen bajo la licencia Creative Commons y no pueden ser reproducidos".

Gobierno de Perú rechaza pedido de Fujimori de auditoría electoral

El presidente de Perú Francisco Sagasti declinó la petición presentada por Fujimori para solicitar una auditoría internacional a la segunda vuelta de elecciones. En Perú, el Poder Ejecutivo rechaza la solicitud de la candidata presidencial derechista, Keiko Fujimori, de una…

Francia se niega a disculparse por la radiación de las pruebas nucleares en el Pacífico

El Gobierno de Francia ha negado cualquier encubrimiento sobre los niveles de radiación en la Polinesia Francesa como consecuencia de las pruebas nucleares que llevó a cabo en la región entre 1966 y 1996, informa AFP. Este viernes concluyó en…

China publica nuevas imágenes a color del aterrizaje y exploración en Marte de su misión Tianwen-1

Hasta la fecha, el róver Zhurong ha estado trabajando en la superficie del planeta rojo durante 42 días marcianos y ha recorrido 236 metros en total. a Administración Espacial Nacional China (CNSA, por sus siglas en inglés) ha publicado este fin de…

Jóvenes indigentes de Nueva York recibirán más de mil dólares al mes durante dos años como parte de una investigación

El estudio tiene como objetivo erradicar la «crisis» de falta de vivienda entre la juventud neoyorquina, particularmente entre la población afrodescendiente, indígena, latina y LGBTQ. Varios jóvenes en situación de calle de la ciudad de Nueva York recibirán más de mil dólares en efectivo…

Encuentran dos valiosas pinturas del siglo XVII en un contenedor de basura en Alemania y la Policía busca a su dueño

Las pinturas al óleo encontradas en un contenedor de basura en una autopista de Alemania podrían ser obras de valor, reza el tuit publicado por el Departamento de Policía de Colonia, en el que piden ayuda a los ciudadanos para encontrar al…

Equidad de género en medios y cupo laboral trans: las nuevas leyes que vuelven a colocar a Argentina a la vanguardia de derechos en América Latina

La Cámara de Diputados de Argentina aprobó esta madrugada dos nuevas leyes que promueven la equidad de género en los medios de comunicación y el cupo laboral de personas transexuales, travestis y transgénero, lo que refuerza el avance de derechos…

¿Qué 5 grandes hallazgos arqueológicos dio Latinoamérica en los últimos 5 años?

Con el pasar de los años, los avances tecnológicos han contribuido al descubrimiento de impresionantes entierros, estructuras y yacimientos de incalculable valor arqueológico. Latinoamérica es una inacabable fuente de descubrimientos arqueológicos. Su vasta riqueza cultural e histórica, que se extiende…

«Esperábamos ver cosas aterradoras…»: Científicos descienden a la tercera fosa oceánica más profunda y encuentran plástico

El oceanólogo filipino Deo Florence Onda y su colega estadounidense Victor Vescovo, de Caladan Oceanic, una organización privada dedicada al avance de la tecnología submarina, realizaron a finales de marzo el primer viaje a la tercera fosa oceánica más profunda de…

Así fue el primer vuelo espacial tripulado de Virgin Galactic desde su propio cosmódromo en Nuevo México

Este sábado, la empresa de turismo espacial Virgin Galactic realizó su primer vuelo espacial tripulado desde su cosmódromo Spaceport America, ubicado en Nuevo México. La nave espacial VSS Unity, con dos astronautas a bordo, fue subida a la atmósfera alta…

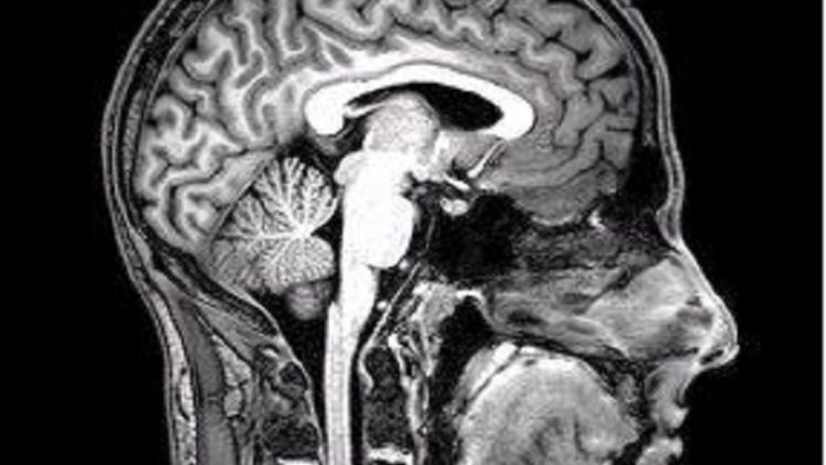
Estudio encuentra que el covid-19 altera el volumen de materia gris en el cerebro

Los investigadores hallaron que esta disminución de materia gris se asoció con un mayor nivel de discapacidad entre los pacientes infectados con coronavirus. Los pacientes infectados con coronavirus que han recibido terapia con oxígeno y experimentan fiebre muestran un nivel…

1 14 15 16 17 18 34