Secondo l’infettivologo Matteo Bassetti, “Dai test risulta positivo già quasi il 15% delle persone”
Sono questi i risultati degli esami di screening eseguiti su soggetti non sintomatici tra Liguria e Lombardia. “La percentuale di positivi al Covid 19 è molto più alta di quanto pensassi, sono dati impressionanti. Ora è necessario uno screening di massa” ha affermato Il professor Matteo Bassetti, direttore della Clinica di Malattie Infettive dell’ospedale San Martino di Genova durante un’intervista apparsa su Repubblica.”I dati che ho visto sono impressionanti. Su alcune migliaia di test sierologici eseguiti su persone non sintomatiche tra Liguria e Lombardia, la percentuale di positivi al Covid-19 è molto più alta di quella che si pensasse. Siamo molto oltre il 10% diciamo verso il 15% e alcuni segnali mi fanno ipotizzare percentuali anche maggiori”.

Il professor Matteo Bassetti della Clinica di Malattie Infettive dell’ospedale San Martino di Genova
Questo dato rilevato sulla base di uno screening mirato ci mette di fronte a un quadro del tutto diverso da quello che finora si era pensato, da una parte senza nulla togliere alla pericolosità di questo virus, il tasso di letalità va rivalutato, dall’altra proprio sulla base di questa percentuale di diffusione così estesa, siamo di fronte a un ulteriore indizio che confermerebbe l’ipotesi che il virus circolasse in Italia molto precedentemente il primo caso ufficiale dichiarato il 21 febbraio 2020 a Codogno.
Ricostruire la cronologia di una epidemia è cosa molto difficile. David Quammen scrittore americano di scienza e natura, autore di quindici libri e i cui articoli sono apparsi su National Geographic, Harper’s, Rolling Stone, New York Times, nel 2012 scrisse un interessantissimo libro dal titolo “Spillover, il salto di specie” dove ricostruiva con minuzia e precisione quello che può essere l’inizio di una pandemia, andando poi a ritroso, raccogliendo dati ed elementi come in una specie di giallo fino a risalire all’evento scatenante, ovvero il famoso primo caso del paziente zero.
Quammen come anche la comunità scientifica di virologi, epidemiologi e biologi identifica l’inizio di oltre il 60% delle epidemie come derivanti da zoonosi.

Tabella mondiale principali epidemie da zoonosi
Per “zoonosi” secondo la descrizione dell’Istituto Superiore di Sanità s’intende una “malattia infettiva di una o più specie animali potenzialmente trasmissibile o che viene trasmessa all’uomo”. Le zoonosi possono diffondersi da un animale all’altro e dagli animali all’uomo. L’uomo nel suo primo caso di contagio da infezione da malattia zoonotica si ammala soltanto attraverso gli animali. Spesso per la prima trasmissione di una zoonosi all’uomo viene indicato come veicolo di trasmissione una specie animale intermedia, solitamente domestica o comunque maggiormente a contatto con l’essere umano, questa specie animale intermedia funzionerebbe da primo ospite dell’agente patogeno che viene trasmesso a sua volta da una specie animale selvatica, indicata come serbatoio di virus e di agenti patogeni potenzialmente trasmissibili all’essere umano. La rabbia ad esempio è un conosciuto agente infettante proveniente da zoonosi.

Le peggiori epidemie nel mondo
E’ qui che entra in scena il termine inglese Spillover, tradotto significa salto di specie, ovvero il salto compiuto da agenti patogeni endemici presenti in specie animali selvatiche, all’uomo.
Solitamente il salto di specie che un virus animale potenzialmente infettante può compiere per arrivare a infettare l’uomo passa attraverso vari gradi di adattamento. Riguardo sia la mutazione che l’adattamento si è visto in particolare che i coronavirus, sebbene per la maggior parte innocui, possiedono una particolare predisposizione alla mutazione genetica e ad adattarsi da una specie animale a un’altra.
Finora come possibile spiegazione di questo salto, almeno nella prima fase di trasmissione di un virus infettante, si era parlato della presenza di specie animali intermedie nel passaggio del virus fra una specie selvatica e l’essere umano. Si riteneva che, i virus e gli agenti patogeni endemici presenti in certe specie animali selvatiche difficilmente potessero entrare in contatto diretto con l’essere umano, in quanto virus di specie animali che vivono in habitat distanti o comunque separati da quello umano. Da qui la funzione di queste specie animali intermedie descritte come anello di congiunzione e possibile veicolo di questo salto di specie.

Vari tipi di trasmissione di alcuni Cov potenzialmente infettanti l’essere umano tramite spillovor
Questo ciò che veniva spiegato, almeno fino alla ricerca portata avanti dal team dell’Università Campus Bio-Medico di Roma, guidato dal professor Massimo Ciccozzi e che ha ricostruito la mutazione genetica che ha permesso al Covid-19 d’infettare anche l’uomo. A trasmetterlo secondo la ricerca è stato direttamente il pipistrello, senza altri ospiti intermedi:
“Più in generale la famiglia dei coronavirus – afferma Ciccozzi – sono virus animali che fanno parte in modo endemico del pipistrello. Ma E’ possibile riscontrarlo anche in tanti altri animali. Il virus – spiega – prova a fare delle mutazioni, poi in una delle tante combinazioni tentate riesce a fare una mutazione che gli permette di fare il salto di specie. Una mutazione che va a riconoscere i recettori particolari sulla cellula respiratoria”. Noi studiamo un tipo di epidemiologia che si chiama epidemiologia molecolare. Studiando il genoma virale – spiega Ciccozzi – abbiamo tantissime informazioni. Tra cui l’esatta data del passaggio di specie”.
E sulla mutazione del virus Ciccozzi avverte: “Questo virus muta in continuazione. Paragono il coronavirus alla Sars. Non possiamo paragonarlo a un virus influenzale. Il coronavirus fa una mutazione ogni mille basi nucleoditiche. Quello della Sars del 2002-2003 ne faceva una ogni 10 mila. Quindi il Sars Cov-2 è dieci volte più veloce”.
“Questo – ha aggiunto il professor Ciccozzi – ci ha portato a considerare perché ha questa velocità” di trasmissione. “Il coronavirus causa dell’epidemia di Covid-19 nell’80% dei casi nel suo genoma è più o meno uguale a quello della Sars del 2002-2003. Abbiamo però individuato altre due mutazioni interessanti: una stabilizza, l’altra destabilizza. Una fa capire a noi quanto il virus è estremamente più contagioso rispetto alla Sars. L’altra mutazione ci fa capire invece quanto sia meno letale. Quindi fa più casi. Ma è meno pericoloso – sottolinea – Almeno tre volte meno pericoloso della Sars”.
A sostegno delle scoperte del professor Massimo Ciccozzi risalenti la prima settimana di marzo, è stato pubblicato soli tre giorni fa il risultato di uno studio cinese che indica che il Sars-Cov2 ha una grandissima velocità di mutazione, e che finora è mutato in almeno 30 differenti ceppi.
Lo studio afferma inoltre che in Europa si sarebbe diffuso il ceppo più letale di Covid-19. A dichiararlo in modo ufficiale è stato un gruppo di ricercatori dell’Università di Zhejiang. Lo studio riporta che dei 30 ceppi del virus già identificati, la loro equipe di studio ne ha classificati 19 mai visti prima.
Il team guidato dalla professoressa Li Lanjuan ha studiato in che modo il coronavirus muta e le possibili implicazioni per la pandemia in atto.
Secondo lo studio la mutazione è stata ampiamente sottovalutata e i diversi ceppi esistenti possono spiegare i diversi impatti della malattia nelle varie parti del mondo.
La professoressa Li Lanjuan e i suoi colleghi hanno scoperto in un piccolo gruppo di 11 pazienti molte mutazioni non precedentemente riportate. Queste mutazioni includevano cambiamenti così rapidi che in fase iniziale gli scienziati non avevano considerato come possibili.
Il dato nuovo è che per la prima volta attraverso prove di laboratorio si è confermato che alcune mutazioni possono creare potenzialmente ceppi di coronavirus più letali di altri.
Nello specifico si legge nelle conclusioni di questo studio “La Sars-CoV-2 ha acquisito mutazioni in grado di cambiare sostanzialmente la sua patogenicità”, hanno spiegato Li e i suoi collaboratori in un articolo apparso domenica sul sito specializzato in pubblicazioni scientifiche:medRxiv.org

La professoressa Li Lanjuan
Lo studio del team della Li Lanjuan ha fornito le prime prove concrete che la mutazione potrebbe influire sulla gravità del virus, sulla pericolosità della malattia e sui possibili danni arrecati alle persone contagiate.
La professoressa Lanjuan ha adottato un approccio insolito e innovativo, per indagare sulla mutazione del virus ha utilizzato un tipo di sequenziamento molecolare ultra-profondo.
Ha analizzato i ceppi virali isolati da 11 pazienti di Covid-19 scelti a caso nella regione dello Hangzhou, più precisamente nella provincia orientale dello Zhejiang, e poi ha testato l’efficacia con cui questi ceppi virali potevano infettare e uccidere le cellule umane.
Per verificare la teoria, Li e i suoi colleghi hanno infettato le cellule con ceppi portatori di differenti mutazioni. I ceppi più aggressivi possono generare fino a 270 volte la carica virale del ceppo più debole.
Sempre secondo lo studio il coronavirus cambia a una velocità media di circa una mutazione al mese.
Stando alla ricerca cinese, le mutazioni più mortali nei pazienti dello Zhejiang sono state identificate anche nella maggior parte dei pazienti in Europa, mentre ad esempio i ceppi più lievi rappresentano le varietà predominanti trovate in alcune parti degli Stati Uniti come lo stato di Washington.
Una specifica parte dello studio ha scoperto inoltre che i ceppi presenti a New York sono stati importati dall’Europa. Il tasso di mortalità a New York infatti è simile a quello di molti paesi europei, se non peggiore.
Questa scoperta potrebbe far luce sulle differenze nella mortalità a seconda dell’area colpita e dare finalmente una spiegazione del perché l’infezione della pandemia e il tasso di mortalità variano da paese a paese.
Gli scienziati hanno notato che i ceppi dominanti in diverse regioni geografiche sono intrinsecamente diversi. Già in precedenza alcuni ricercatori sospettavano che i vari tassi di mortalità potessero in parte, essere causati da mutazioni, ma fino ad oggi non esistevano ancora le prove dirette di ciò.
Il problema era ulteriormente complicato perché i tassi di sopravvivenza su cui ci si basava dipendevano da molti fattori, come l’età, le precedenti condizioni di salute prima della contrazione del virus e persino il gruppo sanguigno.
Questo nuovo studio definisce quindi per la prima volta che il fattore della letalità e della pericolosità del virus è legato in particolar modo al differente grado virale dell’infezione, la quale varia a seconda del ceppo di Covid-19 che si è contratto.
Finora negli ospedali di tutto il mondo i casi di Covid-19 sono stati tutti trattati come fossero un’unica malattia, i pazienti hanno ricevuto lo stesso tipo di trattamento indipendentemente dal ceppo di Covid che avevano contratto. Li Lanjuan e i suoi colleghi hanno così suggerito col loro recente studio che l’identificazione del tipo di mutazione presente in una regione è alla base per determinare le relative e differenti azioni per combattere il virus stesso.
Soprattutto come viene indicato dalle conclusioni della ricerca “Lo sviluppo di farmaci e vaccini, sebbene urgente, deve tener conto dell’impatto di queste mutazioni che si accumulano, tenendo conto delle potenziali insidie legate ad esse”
Detto in altri termini l’importante messaggio della professoressa Li Lanjuan e dei suoi colleghi a conclusione della loro ricerca è che proprio a causa della continua mutazione di questo virus in più varianti, sia le medicine che il possibile vaccino dovrà tener conto di questi aspetti, che non potrà esistere un solo modo di intervenire nella cura, così come in futuro non potrà esistere un unico vaccino per il Covid-19 perché le variazioni e i ceppi già adesso sono almeno 30 e in futuro ci se ne aspetta molti di più.
Comprensibile adesso il perché di alcuni pazienti contagiati in precedenza dal Covid-19 che una volta guariti, in un primo momento sono risultati negativi, ma successivamente ancora invece, a distanza di un mese dalla guarigione alcuni di loro sono risultati di nuovo positivi al tampone. Con probabilità si può forse ipotizzare per aver contratto in seguito un’altra variante ancora di Covid-19?
Il professor Zhang Xuegong, capo della divisione bioinformatica del National Laboratory for Information Science and Technology dell’Università Tsinghua, ha affermato che il tipo di sequenziamento ultra-profondo del virus portato avanti dal team di Li Lanjuan può rappresentare una strategia efficace per tracciare la mutazione del virus.
L’aspetto negativo è che questo approccio potrebbe richiedere molto più tempo e denaro. E per questi motivi è improbabile che possa essere applicato a tutti i campioni.
“Nonostante si siano fatti dei significativi passi in avanti, la nostra comprensione del virus rimane piuttosto superficiale”, ha affermato infine il Dott. Zhang. Ci poniamo ancora grosse domande come ad esempio la provenienza del virus, e perché ad esempio in alcuni casi, pochi per fortuna, è riuscito ad uccidere alcuni giovani sani, e in molti altri ancora invece non ha generato nessun tipo di sintomo rilevabile, sono questioni insomma su cui gli scienziati avranno molto da grattarsi la testa.”

I differenti carichi virali rilevati nei vari campioni a seconda del tipo di ceppo di Covid-19
Se su come sia potuto avvenire questo salto di specie della Sars Cov-2 passando dal pipistrello all’essere umano adesso abbiamo le idee più chiare, riguardo al dove e al quando invece, permangono ancora molti dubbi e punti oscuri.
Una ricerca medica del Dipartimento di Scienze Biomediche e Cliniche dell’Università Statale di Milano, pubblicata il 28 febbraio 2020 sul Journal of Medical Virology, già all’epoca faceva risalire la data del probabile inizio dell’epidemia ad ottobre 2019, cit. dalla ricerca “l’origine dell’epidemia da SARS-CoV-2 può essere collocata tra la seconda metà di ottobre e la prima metà di novembre 2019, diverse settimane prima quindi anche rispetto ai primi casi di polmonite identificati in Cina.”
Il principale luogo imputato del passaggio della Sars Cov-2 all’uomo è stato spesso indicato come la Cina.
Nello specifico in una ricerca sono stati indicati come luoghi del possibile primo contagio i ‘wet market’ cinesi di Wuhan, ovvero i mercati umidi. Mercati dove si vendono animali vivi. Luoghi dove non c’è la corrente elettrica e non ci sono perciò nemmeno i frigoriferi. Motivo per cui gli animali venduti vivi e in quella sede vengono macellati. Il virus sempre secondo questa prima ricerca sarebbe stato trasmesso dal pipistrello all’uomo attraverso un’altra specie animale ospite.

Wet market in Cina
Stando invece alla ricerca condotta dal team dell’Università del Campus Bio-Medico di epidemiologia molecolare della città di Roma condotta da Ciccozzi, si ipotizza invece che questo virus sarebbe passato attraverso le mani per via sanguigna, passando dall’animale all’uomo attraverso il sistema circolatorio, creando così il primo caso, il famoso paziente zero.
Nel sistema circolatorio il virus avrebbe riconosciuto le cellule umane con il recettore enzimatico di cui è dotato, che sarebbe servito come una chiave con una serratura sulla membrana cellulare, entrando così nelle cellule umane, innescando l’inizio dell’epidemia, e poi proseguendo la sua trasmissione all’essere umano per via respiratoria tramite fluidi corporei, colpi di tosse, starnuti, allo stesso modo di come avviene il contagio per una normale influenza.

L’Università Campus Bio-Medico di Roma
Queste le ipotesi a cui si riconducevano le prime ricerche quando come data del primo caso ufficiale veniva identificata il 31 dicembre in Cina.
Ma adesso stando ai diversi studi effettuati, l’identificazione temporale dei primi casi di Covid-19 pare stimarsi invece intorno al mese di Ottobre. Questo rimette in dubbio anche il luogo dove effettivamente possa avere avuto origine il primo caso, di fatti non tutti i dati di cui ad oggi disponiamo concordano col fatto che possa essersi sviluppato per forza la prima volta a Wuhan in Cina.
In Italia all’inizio dell’epidemia si sostenne che il primo caso ufficiale era stato identificato il 21 febbraio 2020, ma molti medici e studi concordano adesso che i primi casi italiani risalgano sicuramente a diverse settimane prima.
Molti i dati di cui disponiamo ora che paiono indicare con molta probabilità avessimo già a che fare con questo virus da molto prima.
Pur non disponendo del dato matematico dei tamponi che all’epoca non venivano ancora effettuati, possiamo però riscontrare il dato di moltissimi casi di polmonite virale riscontrati già a partire dal mese di ottobre 2019. Fu proprio a partire dal mese di ottobre 2019 che in val Seriana, in Val Camonica e in Val Brembate, successivamente epicentro del disastro Covid-19, si registrò l’inizio di una forte impennata di polmoniti virali.
Successivamente furono ancora di più i casi di polmoniti virali nei mesi di novembre, di dicembre e ancor più di gennaio, e insieme a questi anche molti casi di bronchiolite spesso accompagnati da polmonite interstiziale.
Furono centinaia i casi di polmonite che sebbene inizialmente trattati con antibiotico non mostrarono sostanziali miglioramenti, tra i principali sintomi la tosse secca che proseguiva per diverse settimane, accompagnata da problemi respiratori gravi.
In molte valli della Lombardia confrontando il dato delle polmoniti nei mesi di novembre e dicembre 2019 con quello degli stessi mesi dell’anno precedente, i casi risultano essere raddoppiati. Ciò stando ai numeri indicati dai presidi medici e ospedalieri dell’area.
Retrospettivamente, sulla base di ciò che oggi sappiamo dei sintomi causati dal coronavirus, la cosa non poteva che destare ovvi sospetti; ed infatti, è risultato che molti “vecchi” pazienti di polmonite, ai successivi test degli esami sierologici, oggi presentano anticorpi contro il coronavirus a dimostrazione del fatto di essere stati a suo tempo infettati.
Anche nell’area limitrofa il lodigiano emerge un dato analogo a quello delle valli lombarde:
“Eravamo tutti convinti – racconta Alberto Gandolfi, medico di base di Codogno con vari assistiti infetti – che quelle polmoniti fossero favorite da freddo e assenza di pioggia. Rivelate dalle lastre, che cercammo di curare con i consueti antibiotici senza però avere grosse risposte”. Ora il quadro è cambiato e la verità emerge da cartelle cliniche e ricette farmaceutiche di tutti i pazienti della zona rossa, che per oltre due mesi sono stati curati per influenze e “normali” polmoniti. Molte di questi poi sono guariti, ma a un successivo esame sierologico, sono risultate nel loro sangue le tracce degli anticorpi contro il Covid-19.
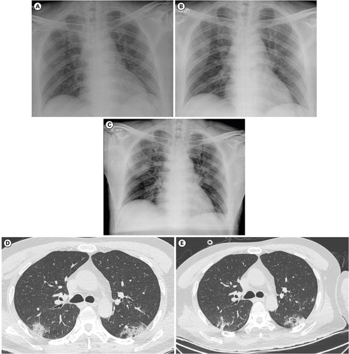
Ed è guardando alle lastre radiologiche effettuate sui pazienti di quei numerosi casi di polmonite di novembre e di dicembre 2019 che, si possono osservare sull’apparato respiratorio analoghi impatti a quelli verificati nei casi ufficiali di pazienti con polmonite da Covid-19.

Radiografie a confronto di pazienti affetti da polmoniti virali da Covid-19
Alla domanda posta alcuni giorni fa su quale potrebbe essere in Italia la data identificabile come inizio dell’epidemia di Covid-19, Paola Pedrini, segretario generale lombardo della Federazione italiana medici di medicina generale ha affermato: “al momento non si può dimostrare che i primi casi di epidemia fossero in atto già da ottobre. Ma sicuramente nei mesi precedenti all’emersione ufficiale dei contagi si erano registrate delle ondate anomale di malattie respiratorie, e in particolare di polmoniti virali, specie in alcune zone della Bergamasca.”
Alla luce di questi dati, se l’ordine cronologico dei primi casi di Covid-19 in Italia è presumibile tra i mesi di ottobre e novembre, ancora una volta la domanda che viene di porsi è come e dove abbia avuto origine questo virus.
Le conoscenze pregresse che abbiamo in generale sullo svilupparsi delle varie epidemie che nel corso del tempo hanno afflitto l’essere umano, ci riconducono nell’oltre 60% dei casi a zoonosi, ovvero virus o germi patogeni presenti in specie animali che modificandosi passano all’uomo.
In particolare per entrambi i casi che hanno poi dato origine alla Sars-Cov del 2003 e al Covid-19 oggi, vengono indicati i pipistrelli come origine del coronavirus, il quale grazie a una mutazione sarebbe passato all’essere umano.
All’interno di questo quadro oggi ci sono abbondanti studi ed evidenze che illustrano come le ultime epidemie di tipo SARS, sia quella del 2002-2003 che anche questa di Covid-19, si siano originate a partire dall’ordine dei chirotteri che nel mondo conta qualcosa come 1376 specie di pipistrelli, 53 presenti in Europa di cui ben 35 solo in Italia.

Diffusione del Rinolophus ferrumequinum nell’area europea
L’indiziato principale di queste ricerche pare essere il Rinolophus unico genere esistente della famiglia dei Rinolofi, e presente sul pianeta con 94 diverse specie concentrate principalmente in Asia, in Europa, ma anche in Africa e in Australia con una minore presenza.
A partire da una serie di ricerche condotte a più riprese e in differenti aree del mondo, si è potuto vedere che in particolare questo genere di pipistrelli ospita vari virus emergenti, inclusi i coronavirus responsabili della Sars-CoV.
In Asia come anche in Europa, sono state condotte delle ricerche in tal senso, per valutare i CoV presenti nelle specie di pipistrelli della famiglia dei rinolofi molto comuni sia in Italia che in Europa.
In base a questi studi sui rinolofi europei, (così come su quelli asiatici indicati da molti come origine dell’epidemia di Covid-19 in Cina come della precedente Sars del 2002-2003) sugli esemplari oggetto di verifica di almeno tre ricerche europee, una datata 2006, un’altra del 2010 e un’altra ancora più recente del 2017 in Italia, nell’area Nord occidentale:

L’area Nord occidentale italiana oggetto della ricerca del 2017 sulla presenza dei Cov nei pipistrelli presenti.
Nella ricerca del 2017, così come d’altronde nelle altre due europee risalenti al 2006 e al 2010, si è potuto verificare che i Rinopholus presentavano un COV strettamente correlato alla sindrome respiratoria acuta grave del 2003, identico per il 96% della sua sequenza genetica al virus del Sars-Cov-2 e causa poi dell’epidemia di Covid-19. Dalle ricerche condotte tale virus risulta presente ad alte frequenze e concentrazioni nei pipistrelli rinolophus ferrumequinum che sono stati controllati, vale a dire che tra il 38 e il 47,4% degli esemplari esaminati è risultato positivo, con valori fino a 2,4 × 10(8) per grammo di feci, e quindi potenzialmente altamente infettanti, nonché, sempre nello stesso genere di pipistrello rinolophus sono stati riscontrati alche altri due ceppi di Alphacoronavirus identificabili come appartenenti alla stessa famiglia dei Sars-Cov.

Tabella 1: analisi tipi di Cov presenti nei Pipistrelli dell’italia Nord Occidentale secondo la specie

Tabella 2: analisi dei campioni della presenza dei Cov sui Pipistrelli dell’italia Nord Occidentale
Nessuna di queste tre ricerche condotte in Europa porta almeno fino ad oggi al dato certo che anche qui in Europa una qualche forma di contagio in forma diretta possa essere avvenuta tra questo genere di pipistrello rinolophus (portatore dei Cov di tipo Sars-Cov) e l’essere umano.
Ma così come si ipotizza un primo contagio avvenuto in Cina per trasmissione diretta dal pipistrello all’uomo, un analogo contagio, causa della manipolazione di questo genere di Rinopholus portatore dei Sars-Cov, almeno potenzialmente potrebbe essere avvenuto anche qui in Europa, così come anche in altre parti del mondo dove questo genere di chirottero sia presente.
Tramite l’ultimo studio del team della professoressa Li Lanjuan, conosciamo ora l’eccezionale capacità di adattamento e di mutazione del virus responsabile dell’epidemia di Covid-19.
Sappiamo che la possibilità che un contagio diretto dal pipistrello all’uomo così come avvenuto in Cina, almeno potenzialmente potrebbe essere avvenuto anche in altre aree del mondo, ovunque sia presente questo genere rinolophus, possibilità questa che non può essere ancora provata, ma nemmeno del tutto negata o scongiurata.
Inoltre l’aver verificato adesso l’esistenza di almeno 30 ceppi di COvid-19, (probabile ve ne siano molti più a livello mondiale) è ulteriore elemento che racconta che anche in Europa il virus presumibilmente circolasse già molto in precedenza dei primi casi accertati. Infine l’aver riscontrato la straordinaria capacità di questo virus all’adattamento e alla mutazione, quanto meno fa sì che una forma di contagio diretto dal pipistrello all’uomo almeno potenzialmente possa essere avvenuta anche in altre parti del mondo, certamente con differenti modalità.
Questi elementi fanno sì che almeno per prudenza tale possibilità quantomeno possa e debba divenire oggetto di ulteriore studio, analisi e indagine.
L’elemento che almeno ad oggi riconduce le varie ricerche ad un primo possibile caso di contagio avvenuto in Cina, si basa di fatto sulla manipolazione da parte dell’essere umano di questo genere di pipistrello, il rinolophus, trattato e macellato nei mercati cinesi.
Ma a questi importanti elementi c’è da aggiungere anche altro. Anche in Europa, così come in altri paesi asiatici, e pure negli States sebbene con altri generi di pipistrelli ancora, da decenni, non certo per scopi alimentari, bensì per motivi di studio, di ricerca e di tutela ambientale e non ultimo per sperimentazioni di vario tipo, questo genere di pipistrello è stato a lungo e abbondantemente oggetto di manipolazione da parte dell’uomo.
Entrando nello specifico ad esempio, le specie di Rinolophus europeo sono state manipolate e trattate nel corso di numerosi studi condotti su di esse, così come anche sono state oggetto di abbondante manipolazione per motivi di ripopolamento su larga scala, ciò tramite ampie campagne europee che in dei casi, in assoluta buonissima fede, lo hanno visto persino essere allevato con poche o addirittura senza nessuna accortezza direttamente nelle stesse abitazioni di alcune persone aderenti a queste campagne di ripopolamento.
Così come, sempre in Europa, le stesse specie di rinolophus sono state oggetto di ricerche scientifiche di vario genere e a vario titolo.

Un Rinolphus ferrumequinum con la caratteristica foglia nasale a forma di ferro di cavallo.
Nel 2018 ad esempio è stata condotta una particolare ricerca su quattro generi di pipistrelli presenti in Europa.
Il testo della presentazione dello studio sul sito del Cordis afferma che da ricerche condotte sui pipistrelli da oltre 60 anni si è compreso che i geni di riparazione del DNA nei pipistrelli potrebbero essere la chiave fondamentale per comprendere anche il processo d’invecchiamento nell’essere umano. Cit. dalla presentazione della ricerca stessa: “Utilizzando i dati ottenuti da oltre 60 anni di studi sul campo, il gruppo responsabile del progetto ha cercato di scoprire se i telomeri si accorcino o meno con l’età nelle specie di pipistrelli Rhinolophus ferrumequinum, Miniopterus schreibersii, Myotis bechsteinii e Myotis myotis.” I risultati di questa ricerca sono stati pubblicati sulla rivista «Science Advances. Tale ricerca del 2018, ma non è la sola, in sostanza ha esaminato a fondo i telomeri di quattro specie diverse di pipistrelli selvatici, tra cui anche il Rinolophus ferrumequinum, per determinare poi il loro eventuale ruolo nella longevità del pipistrello e poterlo ricondurre agli studi sul processo d’invecchiamento nell’essere umano.

Quoziente longevità dei generi di pipistrelli analizzati a confronto con altri mammiferi. (ricerca Ageless 2018)
Proseguendo dal sito del Cordis:
“I telomeri sono le parti terminali dei filamenti di DNA e proteggono i nostri cromosomi.” – Si afferma nella ricerca – Con l’avanzare dell’età, i telomeri diventano sempre più corti fino a quando non riescono più a svolgere il loro lavoro, il che fa sì che le nostre cellule comincino a deteriorarsi. Una volta avviato questo processo, i nostri tessuti cominciano a degenerare e morire.
I pipistrelli sono stati catturati in diversi siti in tutta Europa. Prima del rilascio, da ogni pipistrello sono stati prelevati campioni di ala di tre millimetri. I campioni sono stati quindi congelati in azoto liquido o essiccati con perle di silice. I risultati delle analisi dei telomeri hanno indicato che, come nella maggior parte dei mammiferi, i telomeri si accorciano con l’età nelle specie di pipistrelli Rinolophus ferrumequinum e Myotis schreibersii. Non è stata invece riscontrata alcuna relazione tra la lunghezza e l’età del telomero nel genere Myotis myotis, che comprende le specie di pipistrelli più longeve finora studiate.”
Questa ricerca presentata sul sito del CORDIS uno dei vari organismi della Commissione Europea, risale al 2018 ma come affermato dalla ricerca stessa non è l’unica condotta sui pipistrelli in oltre 60 anni.
“La ricerca – si legge nella presentazione – è stata condotta all’interno del progetto AGELESS (Comparative genomics / ‘wildlife’ transcriptomics uncovers the mechanisms of halted ageing in mammals) che ha contribuito ad approfondire la comprensione dei meccanismi che i pipistrelli hanno sviluppato per garantirsi la longevità. Ha inoltre avvicinato di un altro passo gli scienziati a scoprire come arrestare l’invecchiamento e alleviare le malattie legate all’età nell’uomo.”

Sito del Cordis
Questa solo una delle tante ricerche condotte sul genere Rionolophus ferrumequinum, che le tre ricerche condotte nel 2006-2010-2017 (vedi link sopra) ci dicono essere anche qui in Europa un serbatoio naturale dei Cov, tra cui quelli della famiglia Sars-Cov.
Questo dato, così come 60 anni di studi condotti proprio sui pipistrelli e come anche le campagne di ripopolamento che a lungo sono state oggetto di finanziamento europeo, dovrebbero indurci quantomeno a qualche maggiore riflessione.
E’ necessario dire infatti che le decennali campagne di ripopolamento di queste creature, portate avanti fino al 2018, purtroppo non si fermavano solo alla semplice installazione delle EuroBat box avvenuta in molte aree italiane ed europee, ma a causa della mancanza delle dovute informazioni, delle necessarie accortezze, da tenere assolutamente in conto quando si entri in contatto diretto con queste specie selvatiche, ha fatto sì, come anche detto sopra, che diverse persone, nella più assoluta buona fede, entrassero in stretto contatto persino in casa propria con vari generi di pipistrello, fra cui anche i Rinolophus.

Eurobats Archive site

Eurobats Project
A margine di ciò la manipolazione dei pipistrelli spesso avveniva anche a mani nude, entrando in contatto le persone con deiezioni, saliva e sangue di queste creature che, se lasciate nel loro habitat naturale o comunque prudentemente tenute separate dagli habitat umani, non solo risultano essere innocue, ma sono straordinariamente utili per tutta una serie di aspetti.
Allo stesso tempo, qualora invece queste specie vengano manipolate, trattate e diventino oggetto di studi e sperimentazioni, magari come spesso avvenuto senza le necessarie accortezze, allora potenzialmente anche qui in Europa come anche in Cina, o in altre parti del mondo ci si espone al rischio di un possibile contagio.
Alla luce di tutto quel che adesso conosciamo, ciò dovrebbe portarci ad avere maggiore rispetto, attenzione e una dovuta prudenza nei confronti di queste fantastiche e utilissime creature.
Oggi, in relazione all’epidemia mondiale di Covid-19 che stiamo affrontando, siamo a interrogarci sulle nostre possibili incaute azioni nei confronti di questi stupendi animali, un domani ciò potrebbe avvenire nei confronti di altre specie animali selvatiche, potenzialmente portatrici di nuovi virus ancora.
I pipistrelli, così come tutte specie selvatiche, la flora e la fauna con cui condividiamo il pianeta, sono certamente incolpevoli e inconsapevoli di come le leggi della natura e della vita stessa in generale agiscano attraverso di loro, cosa che avviene anche attraverso l’evoluzione dei virus o di potenziali agenti patogeni di cui da sempre le specie selvatiche sono portatrici.
Molto meno inconsapevoli e molto più responsabili invece lo siamo noi e le nostre azioni, incaute ed imprudenti e sempre più spesso irrispettose della vita, la quale esisteva in svariate forme, compreso i virus, ben prima della nostra comparsa su questo bellissimo pianeta.
In aggiunta tutto questo con la nostra attività antropica, in questo ultimo secolo abbiamo deforestato oltre il 60% delle nostre riserve forestali, (le foreste da sempre provvedono in modo determinante a depurare il pianeta) abbiamo contribuito ad innalzare la temperatura media del globo terrestre, favorendo così un habitat naturale per nuovi virus emergenti, alleviamo in modo intensivo milioni e milioni di animali, spesso in condizioni igieniche allucinanti, sottoponendoli a trattamenti antibiotici che generano germi e agenti patogeni particolarmente resistenti, abbiamo infine provveduto in vari modi a inquinare il nostro habitat, con studi alla mano che ora ci indicano come l’inquinamento, compreso quello elettromagnetico, sia causa significativa di deterioramento e indebolimento del sistema immunitario, ecco che, il quadro generale che ne conviene allora appare abbastanza chiaro, anche davanti agli occhi dei più scettici, di tutti coloro che possano domandarsi ancora il perché, la causa e l’origine di questa, come di altre possibili epidemie.

Copertina del Report del WWF Uomo Ambiente e Pandemie
Un sentito ringraziamento all’importante contributo di Antonio Fiscarelli.










